小児歯科
pedodontics
お子様の歯について、
こんなお悩みは
ありませんか?
「ついつい甘い物ばかり与えてしまい、虫歯が心配・・・」
「大人の歯が生えてきたのに、乳歯がなかなか抜けない。」
「パッドやテレビを見ながら、口をポカンと開けているけど、注意するべき?」
最近はお子様の虫歯の治療ではなく、歯並びや咬み合わせの相談で来院される方が多くいらっしゃいます。歯並びや咬み合わせは、生活様式の変化や食生活習慣などとも大きく関係しています。
食べ方や姿勢などの良い習慣が身についていることは、成長の過程でとても大切なことです。
当院では、虫歯の治療および予防処置に加えて、歯並びや、お口まわりの癖などもチェックさせていただきます。
地域のかかりつけ歯科として、虫歯の治療・予防はもちろん、子供の歯(乳歯)から大人の歯(永久歯)への生えかわりを成長と一緒にみていく、重要なパートナーになれればと思っています。
安心して治療をうけていただくために
経験豊富な小児歯科専門医が診察します。
当院では、経験豊富な小児歯科専門医が診察いたします。
小児歯科専門医の資格を有するには、学会に所属して指定の医療機関で5年以上の臨床経験を積み、更に小児歯科臨床に関する発表をした上で、試験に合格する必要があります。
小児歯科専門医は、全国で約1,200名、歯科医師の約3%程度と希少です。愛知県の小児歯科専門医は69名、小児歯科専門医が主に在籍している施設(大学病院なども含む)は、53施設です。(令和元年のデータ)
小児歯科の看板を出しているからといって、小児歯科専門医であるとは限りません。歯科医師であれば誰でも、小児歯科の看板を標榜することができます。
虫歯治療・予防はもちろんのこと、お子様のお口のことで心配や不安なことは、遠慮なくご相談下さい。
小児歯科専門医が在籍する医院として、専門性の高い治療を行います。
また、常に「子どもの目線に立った歯科治療」を意識し、お子様と仲良くなれるよう心がけています。
保護者の方には、正しい歯科の知識と習慣を身につけていただけるよう丁寧な説明を行って、信頼関係を築くことを大切にしています。
口腔機能発達不全症のトレーニングを行っています。
口腔機能発達不全症とは?
「食べるのに時間がかかり、なかなか飲み込むことができない。」
「聞き取りにくい発音がある。」
「口を開けて息をする癖がある。」
お子様をみていて、上記のような症状が気になることはありませんか?
口腔機能発達不全症とは、15歳未満の小児で障がいが無いにも関わらず、食べる・話すなどのお口の機能が十分に発達していない状態をいいます。
正常な機能獲得ができていないだけですので、日常生活の習慣や癖を変えたり、トレーニングをすることで改善が見込める状態です。
当院では、上手く咬むことができない・飲み込めない・一部の発音ができない・口呼吸をしているなど、お口の中の機能が十分に発達していない状態のお子様に、 MFT(口腔筋機能療法)を中心としたトレーニングを導入しています。
MFT(口腔筋機能療法)とは?
MFT(口腔筋機能療法)は、歯並びを乱す原因となる筋肉の不調和をトレーニングによって整えていく治療法です。
食べる・飲む・発音および呼吸・舌の位置などの改善を目的としたトレーニングを行うことで、口腔周囲の筋肉バランスを整えます。
口腔機能発達不全症の検査と診断
検査内容
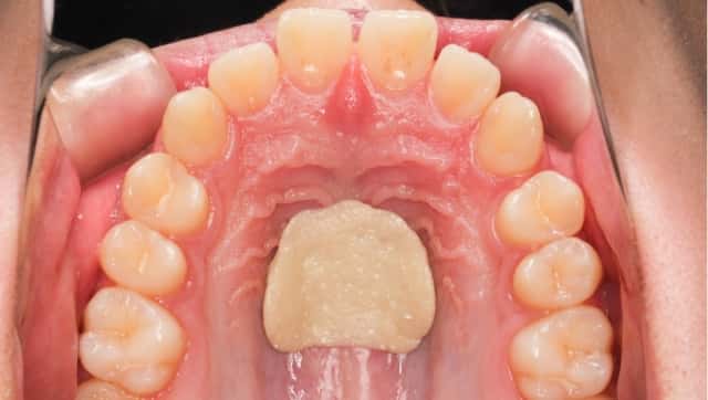
- 口腔内検査
- チェックリストの各項目の聞き取り
- お口の中の写真・顔貌写真
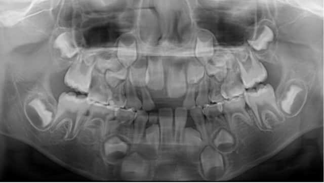
- レントゲン写真
- 体重と身長の測定
- 咬む力(咬合力)と口唇閉鎖力の測定
![各項目の聞き取り]()
- 各項目の聞き取り
![レントゲン写真]()
- レントゲン写真
![咬合力の測定]()
- 咬合力の測定
![口唇閉鎖力の測定]()
- 口唇閉鎖力の測定
検査結果を元に管理計画を立案し、お子様1人1人に合ったプログラムを作成します。
1ヶ月に1回程度の間隔で来院していただき、トレーニングを行います。1回のトレーニングは10〜15分程度です。
日常生活の中から、歯並びや咬み合わせに悪影響を与えている要因を見つけ出し、改善・予防を行う取り組みになります。
このプログラムに取り組むことで、成長と共にバランスの良い歯並びや咬み合わせになる効果が期待できます。
早い発育段階での指導により、軽度な歯並びや咬み合わせの不正は治る場合があり、悪化を予防することもできます。
口腔機能発達不全症のトレーニング内容
トレーニング内容
- 姿勢のチェックと改善の指導
- 食事の指導(ガムなどで噛む練習・飲み物や食べ物での練習)
- ぶくぶくうがいの練習
- MFT(口腔筋機能療法)
- 専用器具を使用しての、お口の周囲の筋肉(口腔周囲筋)や舌の強化
など
![ペコぱんだ]()
-
ペコぱんだ
舌の力を強化する練習
![りっぷるとれーなー]()
-
りっぷるとれーなー
口唇閉鎖力を強化する練習
![ガムトレーニング]()
-
ガムトレーニング
ガムを上あごに押しつける練習
![スポット]()
-
スポット
舌尖の正しい位置を覚える
子育て経験のあるスタッフが対応します。
「歯医者さんが最初から好きなお子様は、なかなかいないですよね?」
玄関に入った瞬間から、歯医者の独特な雰囲気を感じ、泣いてしまうお子様も…。
歯医者にはそんなイメージがありますが、当院では、恐怖心で泣いたり暴れたりするお子様にも寄り添って、治療を行います。
子育て経験のあるスタッフが介助をしながら処置を行い、保護者の方も治療室に入室していただくことが可能です。
治療が不安なお子様には、手を握っていただいたり、側で寄り添っていただいております。
また、治療をスタートする前に、まずは診療台で寝るだけの練習など、治療をスムーズに進める前段階の準備(治療トレーニング)もしっかりと行いますのでご安心ください。
定期検診を推奨しています
治療が終了してからの定期検診は、お口の健康を保つには欠かせません。
治療後には、お口の中の状態により、1〜3ヶ月毎の定期検診を推奨しております。
定期検診の内容
- 虫歯のチェック
- 歯肉(歯茎)のチェック
- 歯並び・歯の生え変わりのチェック
- ブラッシング指導(染め出しによる衛生士の指導あり)
- セルフケアのチェック
- 予防処置(フッ素塗布・虫歯の進行止めの薬の塗布・シーラント処置など)
シーラント処置とは?
小児期における虫歯になりやすい部分の1つに、「歯の咬み合わせの溝」が挙げられます。
この溝をフッ素の入った樹脂で埋める方法が、シーラント処置です。
処置時には、 歯を削ることなく、溝の部分に樹脂を流し込み、専用の光を当てて固めます。
大人の歯(永久歯)に、主に適用します。
小児歯科治療に関する
よくあるご質問
- 小児の矯正治療は行っていますか?
- 小児矯正も行っています。成長発育を考慮した小児期からの矯正治療により、できるだけ負担が少なく、可能な限り抜歯せずに済む治療を心掛けています。
- 口腔機能発達不全症のトレーニングは保険治療が適用されますか?
- 保険治療が適用されます。歯科医院のトレーニングだけで直ぐに改善は見込めませんので、ご家庭でのトレーニングも大切になります。
- MFT(口腔筋機能療法)を行うことで、矯正治療は必要なくなりますか?
- 小さい頃からMFTを行っていても、矯正治療が必要になることはありますが、MFTは矯正治療を成功させるための大切な要素です。歯並びが悪い原因を改善できなければ、矯正治療後も治療前の歯並びに戻ろうとしてしまうからです。
矯正治療をスムーズに進め治療後の歯並びを維持するためにも、MFTはとても重要です。 - 軽度の障がいがありますが、診療してもらえますか?
- 軽度の障がいのある患者様の診療も行っております。障がいの種類や程度により、事前にご家族の方と相談させていただき、治療内容および治療方針を選択・決定していきます。







